Centro de imagen de la Costa
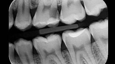
Exámenes realizados en equipo 9600/Trophypan Supreme - Version Full.
Resultados precisos y confiables
Un servicio brindado por:
Combinamos tecnología de última generación con expertos en diagnóstico por imágenes para ofrecer resultados precisos y confiables.
Nuestros equipos de radiología y tomografía computarizada son los más avanzados. Están diseñados para brindar imágenes bidimensionales o tridimensionales detalladas y precisas, con la mínima radiación posible, que ayudarán a los odontólogos u otorrinos a tomar las mejores decisiones sobre el estado de salud de sus pacientes.
Estamos comprometidos con tu bienestar y brindar servicios de vanguardia en diagnóstico por imágenes.
ATENCIÓN ODONTÓLOGOS!!
Ahora tus radiografías y tomografías están donde vos estés:
Usando PLATAFORMA MEDCLOUD, accedes desde la APP en tu celular a todos los estudios de tus pacientes, al instante 24/7, sin costo.
- Práctico, rápido y seguro.
- Ideal para seguir tratamientos a distancia.
¡En Clínica de la Costa - Imagenología Odontológica ya estamos trabajando con esta plataforma!
Si todavía no la tenés, te ayudamos a descargarla.
¿Por qué elegir nuestro servicio?
- Tecnología de Vanguardia:
Utilizamos el Trophypan Supreme 9600 - Versión Full, un equipo de radiología dental líder en la industria que proporciona imágenes excepcionales brindando hasta 14 campos de visión y programas versátiles que se adaptan a todas las necesidades y cubren todas las especialidades. (consultas generales, endodoncia, implantología, periodoncia, cirugía oral y maxilofacial, ortodoncia, otorrino, vías respiratorias, escaneo facial. etc.) - Máxima Precisión y calidad:
Gracias a esta tecnología de última generación, podemos obtener imágenes de alta resolución en tiempo real, lo que significa un diagnóstico más rápido y preciso. El sistema CS 9600 aporta un nuevo nivel de automatización y sencillez a la adquisición de imágenes CBCT. Combina innovadoras tecnologías para ayudar a generar exploraciones precisas y óptimas en la primera captura. - Menos Radiación, Más Seguridad:
El Trophypan Supreme 9600 - Versión Full ha sido diseñado para minimizar la exposición a la radiación, brindando seguridad a nuestros pacientes sin comprometer la calidad de las imágenes. - Atención Personalizada:
Nuestro equipo de profesionales altamente calificados trabaja estrechamente contigo para desarrollar un plan de tratamiento dental personalizado, utilizando la información proporcionada por nuestra avanzada tecnología de imagenología dental. - Ambiente Cómodo y Relajado:
En nuestro servicio de imagenología dental nos esforzamos por crear un ambiente amigable y relajado para nuestros pacientes. Tu comodidad y bienestar son nuestras principales prioridades.
- Plataforma MedCloud: Innovación y comodidad, con acceso remoto 24/7 desde la APP en tu celular, sin tener que volver a la clínica. Sin Costo para el odontólogo. ¡Ya estamos trabajando con esta plataforma! Si todavía no la tenés, te ayudamos a descargarla.
Cuando elijes nuestra clínica, estás eligiendo la excelencia en atención en Ciudad de la Costa y Costa de Oro, respaldada por tecnología de última generación.
Servicios Radiológicos
Radiología Odontológica en Ciudad de la Costa
Todos nuestros estudios radiológicos vienen acompañados de servicios y prestaciones que les aportan un notable valor añadido y nos convierten en todo un referente en el sector.
La alta tecnología digital, los profesionales de primer nivel, la atención personalizada y el respaldo que nos brinda ser parte de los servicios que ofrece Clínica de la Costa nos posicionan como referentes en radiología dental.
Ofrecemos un servicio de alta calidad
Valor añadido
Estamos comprometidos con tu bienestar y brindar servicios de vanguardia en diagnóstico por imágenes.
Un servicio brindado por:
Calidad y cercanía
Contamos con modernas instalaciones diseñadas para atender a los pacientes con el máximo confort y la tecnología más avanzada.
Central Lagomar:
Lunes a viernes de 11:00 a 19 hs.
Sede Atlántida:
Radiografías Intraorales DIGITALES:
Lunes y Jueves de 11 a 14 hs
Tecnología de avanzada
Contamos con la tecnología más avanzada en tomografía computarizada de Haz Cónico.
Producen imágenes 3D de las piezas dentales, tejidos blandos y estructuras óseas en una sola exploración, con la mínima radiación del mercado y una fantástica calidad.
Se puede acceder sin costo a radiografías, tomografías y estudios directamente desde tu celular, gracias a la integración del sistema MedCloud en el servicio de Imagenología Odontológica de Clínica de la Costa.
Atención personalizada
Te ofrecemos profesionales de primer nivel, atención personalizada y servicios y prestaciones en exclusiva.
Enfocados a odontólogos, cirujanos, otorrinos, etc.





















